Mi è successo che qualche nuovo paziente, a cui durante la prima visita chiedo come mai gli manca un certo dente, mi risponda “c’era un granuloma, il dentista ha dovuto toglierlo”. Purtroppo in passato questa era una credenza diffusa (ahimè anche fra molti dentisti…) e i pazienti, spaventati anche dal “suono” della parola (che ricordava loro malattie ben più gravi) erano ben disposti a subire un’estrazione.
In realtà il granuloma non è altro che la reazione difensiva del nostro organismo nei confronti di un’infezione (nel nostro caso proveniente dai batteri contenuti in un canale di una radice dentaria non curata adeguatamente). Tante volte rimane asintomatico (cioè non da alcun fastidio al paziente) anche per anni e viene individuato solo in seguito ad un esame radiografico di routine fatto durante una visita di controllo. Il dente coinvolto e sempre un dente “non vitale” (cioè senza all’interno una polpa “viva”), sia in seguito a carie o traumi che ne hanno causato la perdita di vitalità, sia in seguito ad una terapia endodontica (meglio conosciuta come “devitalizzazione”) non efficace.
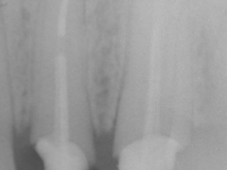
Quello che il dentista può vedere, attraverso un esame radiografico, è una “lesione periapicale”, cioè una zona di osso meno calcificato (e quindi più trasparente ai raggi X) situata intorno alla punta della radice.
Se noi riusciamo a rimuovere l’infezione (detergendo e sigillando correttamente i canali radicolari infetti) questa lesione guarisce nel giro di pochi mesi.
La cura consiste nell’isolare il dente con la diga (vedi articolo dedicato), rimuovere la polpa “morta” o il materiale inserito con la vecchia cura, dare una forma adeguata al canale, lavarlo con opportune sostanze disinfettanti per un tempo adeguato (almeno 30 minuti complessivi), sigillare il canale con un materiale stabile nel tempo e quindi procedere ad una adeguata ricostruzione del dente, sia con otturazioni che con eventuali corone protesiche (chi vuole approfondire veda l’articolo sull’endodonzia, qui o sul mio sito www.attiliovenerucci.it ).
A questo punto inizia il processo di guarigione che, nei controlli successivi, consentirà di verificare (in una alta percentuale di casi) che l’osso si è riformato e il granuloma è sparito.
Quindi, prima di farvi togliere un dente perché ha un granuloma, chiedete sempre al vostro dentista se non è possibile provare a curarlo, eventualmente ricorrendo alla consulenza di un endodonzista esperto. A me capita spesso, occupandomi di endodonzia da 20 anni (anche in microscopia), di curare pazienti inviati da colleghi che hanno approfondito meno questa specialità (o perché sono meno appassionati alla materia o perché, magari, si occupano prevalentemente di altre specialità) e i paziente inviato apprezza molto la serietà del proprio dentista che, all’occorrenza, sa appoggiarsi al collega più esperto in quel settore.
La percentuale di successo, se la cura è adeguata, oscilla tra l’80 e il 90 % dei denti trattati. Se le cose vanno male c’è ancora la possibilità di una terapia chirurgica (andando a curare la punta della radice attraverso l’osso). Se poi questo non è possibile (o il dente non ha le caratteristiche per essere curato e usato in maniera duratura) il ricorso all’estrazione e la sostituzione con un impianto oggi è una valida alternativa.







