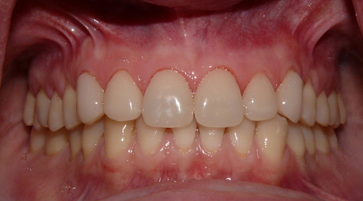
Si tratta di un tipo di restauro che viene applicato sui denti frontali quando, a causa di vecchi restauri, abrasioni, traumi o difetti congeniti il paziente non è soddisfatto dell’estetica del proprio sorriso. Si tratta di “gusci” sottilissimi che vengono “incollati”, dopo averli leggermente limati (di solito pochi decimi di millimetro), sui denti interessati. Questa piccolissima riduzione del dente consente di ottenere la migliore adesione possibile e di non lasciare “gradini” tra la faccetta e il dente naturale.
Possono essere eseguite su un singolo dente oppure su tutti gli elementi frontali (da canino a canino o anche coinvolgendo i primi premolari, a seconda del tipo di sorriso del paziente) di una o entrambe le arcate dentarie.
Possono essere costruite in diversi materiali, ciascuno con pregi e difetti:
· Ceramica: molto estetiche, altamente “personalizzabili” con caratterizzazioni di colore e trasparenze, lisce, resistenti all’usura e cromaticamente stabili nel tempo. Tuttavia sono più delicate in caso di trauma, più complesse da costruire e, di conseguenza, più costose.
· Composito: esteticamente buone, più resistenti a eventuali traumi grazie all’elasticità del materiale, facilmente riparabili in caso di problemi. Tuttavia sono maggiormente soggette all’usura e, nel tempo, potrebbero avere qualche lieve variazione nel colore.
Attualmente vengono costruite industrialmente con tecnologie molto sofisticate e vengono poi adattate in bocca dal dentista scegliendo quelle di “taglia” e colore più opportune. Non richiedendo i passaggi dell’impronta, del provvisorio e l’intervento dell’odontotecnico, possono venire proposte a costi molto più contenuti rispetto a quelle fatte “su misura” in ceramica.
Entrambe le tipologie di lavoro danno risultati molto soddisfacenti, a condizione che vengano applicate da parte del dentista procedure rigorose:
· Si tratta di restauri adesivi, quindi si “incollano” meglio in assenza di umidità; è quindi importante l’uso della diga di gomma, applicata con alcuni stratagemmi per lasciare la maggior visibilità possibile.
· È importante definire bene i margini del restauro e rimuovere in maniera estremamente precisa le eventuali sbavature di materiale, per non lasciare zone “ruvide” che, trattenendo placca batterica, potrebbero essere causa di carie e gengiviti; è quindi importantissimo l’utilizzo di sistemi ingrandenti da parte del dentista.
· Essendo delle “mini protesi” è molto importante che, come ogni altro restauro, vengano pianificate meticolosamente, valutando la situazione globale del paziente. Se la masticazione a livello dei denti posteriori non è corretta (magari per la mancanza di diversi denti) occorre ripristinarla prima di intervenire a livello dei denti frontali, per evitare che carichi masticatori anomali possano essere causa di distacco e/o rottura dei restauri estetici.
Le faccette estetiche sono quindi un’ottima arma a nostra disposizione per dare un sorriso piacevole ai nostri pazienti ma, come per tutte le altre procedure odontoiatriche, vanno applicate nei casi indicati e con attente procedure operative. Solo così siamo nella condizione di non creare danni al paziente e di attenderci una durata nel tempo proporzionata all’impegno che abbiamo profuso nell’esecuzione del lavoro.















